نبذة عن الدكتور
طبيب أسنان متميز بخبرة في تشخيص وعلاج مشكلات الفم والأسنان، ويهتم بتقديم خدمة طبية متكاملة تجمع بين الدقة، الأمان، والاهتمام براحة المريض. يعتمد في عمله على أحدث الأجهزة والتقنيات الحديثة لضمان أفضل النتائج في تجميل الأسنان، وجراحات الفم، وعلاج اللثة
يتميز دكتور عمر بأسلوبه الهادئ واهتمامه بشرح خطة العلاج للمريض خطوة بخطوة، مما يجعل تجربة العلاج أكثر راحة وثقة، خاصة للأطفال أو المرضى القلقين من علاج الأسنان
عدد زوار هذه الصفحة : 81
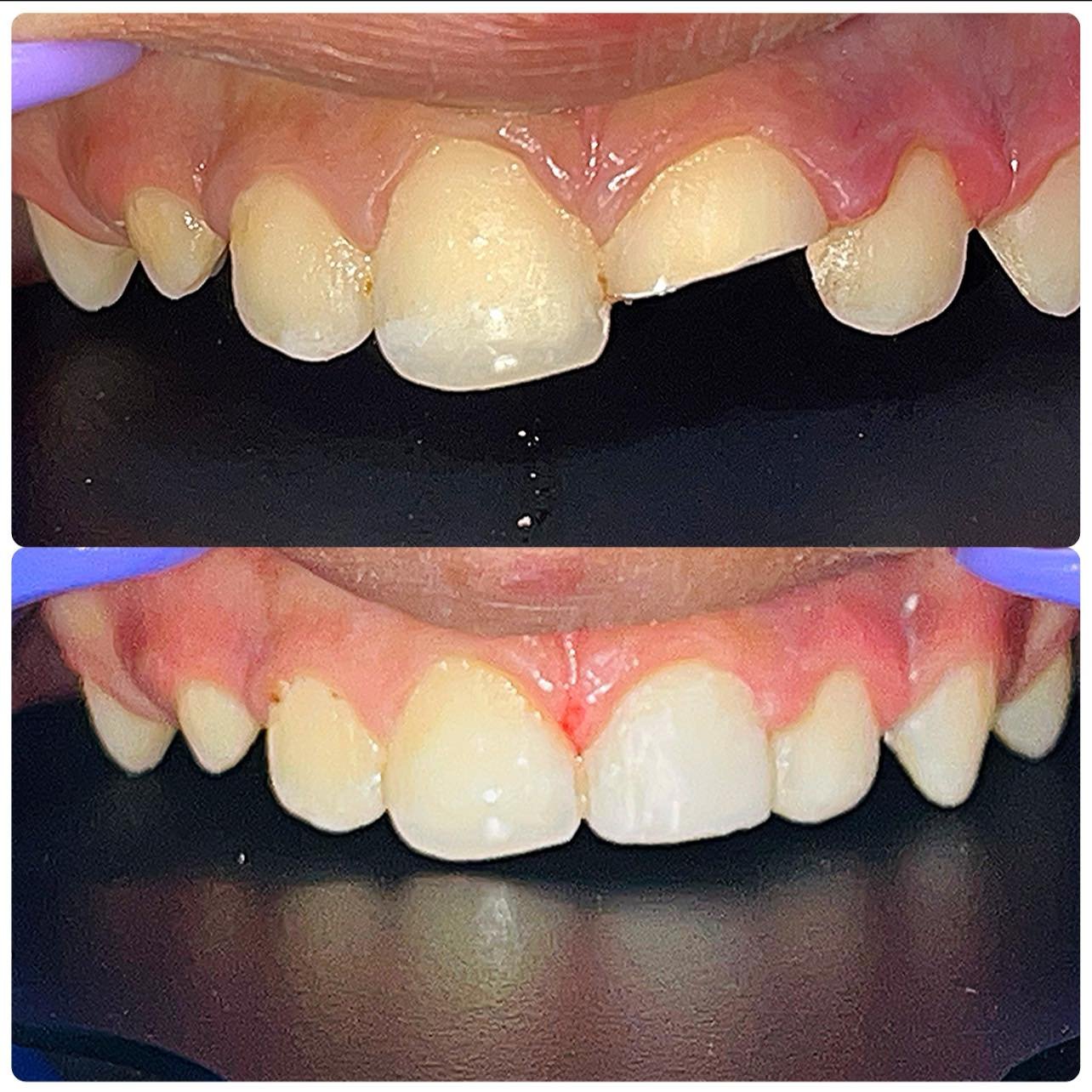
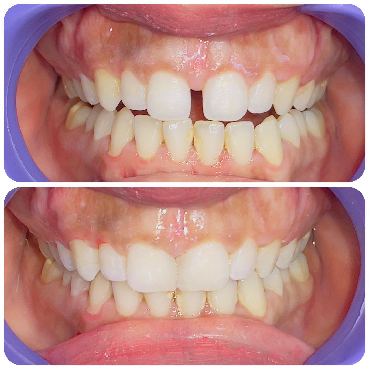
📌 أبرز الخدمات التي يقدمها
- حشوات الأسنان العلاجية والتجميلية
- تبييض الأسنان بالليزر
- علاج جذور الأسنان (العصب)
- تركيب التيجان والقشور التجميلية (الفينير واللومينير)
- علاج والتهابات اللثة
- خلع الأسنان والجراحات البسيطة
- تنظيف وتلميع الأسنان
- متابعة وعلاج أسنان الأطفال
عنوان العيادة : الشرقية - بلبيس - امام مسجد السادات قريش
مواعيد العيادة ببلبيس
- من الساعة 6 الي 10 مساء السبت - د/ عمر حموده
- من الساعة 6 الي 10 مساء الاحد - د/ احمد طارق
- من الساعة 6 الي 10 مساء الاثنين - د/ عمر حموده
- من الساعة 6 الي 10 مساء الثلاثاء د/ احمد طارق
- من الساعة 6 الي 10 مساء الاربعاء - د/ عمر حموده
- من الساعة 6 الي 10 مساء الخميس د/ احمد طارق
- اجازة الجمعة
يمكن الحجز بالهاتف والدخول بأسبقية الحضور
رقم العيادة : 01000874361
لما تختار الدكتور الصح، بتختصر طريق طويل من التعب
تابعنا على صفحتنا
Before
After
دكتور/ احمد طارق
متواجد بالعيادة حد وثلاثاء وخميس









