نبذة عن الدكتور
خصائي طب وتجميل الأسنان، يُعد من الأطباء المتخصصين في تشخيص وعلاج أمراض الأسنان واللثة باستخدام أحدث التقنيات الحديثة. تقدم العيادة خدمات متكاملة تشمل تنظيف وتلميع الأسنان، علاج التسوس والحشو التجميلي، تركيب التيجان والقشور التجميلية (الفينير واللومينير)، بالإضافة إلى تركيبات الأسنان الثابتة والمتحركة وتجميل الابتسامة. يحرص د. ماجد عصاوي على تقديم رعاية طبية دقيقة وشاملة، مع متابعة مستمرة لحالة المريض لضمان أفضل النتائج وتحقيق ابتسامة صحية وجميلة تدوم طويلاً.
عدد زوار هذه الصفحة : 14
عنوان العيادة : الشرقية - بلبيس - الشارع الجديد أمام محل الشيشيني للأدوات الكهربائية قبل مكتبة المساح
مواعيد العيادة ببلبيس
- من الساعة 2 الي 6 مساء الأحد
- من الساعة 2 الي 6 مساء الثلاثاء
- من الساعة 2 الي 6 مساء الخميس
الحجز مسبقا بالموبيل او من خلال الواتساب و الدخول بأسبقية الحضور
رقم العيادة : 01055858582
لما تختار الدكتور الصح، بتختصر طريق طويل من التعب
تابعنا على صفحتنا
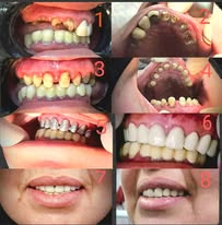
صور العيادة
من آراء عملائنا
م. أحمد سمير
“تجربتي كانت ممتازة، الدكتور فاهم جدًا وبيشرح كل خطوة، وفعلاً حسّيت بفرق كبير بعد الجلسة
أ. منى إبراهيم
“عيادة ممتازة جدًا.. الدكتور محترم وشغله دقيق جدًا، والأسعار مناسبة مقارنة بالخدمة اللي بتتقدم.”
م. خالد يوسف
“ابتسامتي اتغيرت تمامًا بعد التجميل.. شكراً دكتور ماجد على الاهتمام والمتابعة.”
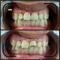
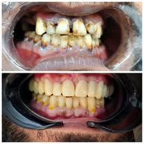
Before
After
أبرز عمليات تجميل الأسنان








