
Rate this post
نبذة عن الدكتور
يُعد الدكتور/ حسين أشرف حبيشي واحدًا من أطباء الأسنان المتميزين في مدينة بلبيس، ويتمتع بخبرة قوية في تشخيص وعلاج مشكلات الأسنان بدقة عالية، مع اهتمام خاص بتقديم حلول تجميلية تمنح المريض ابتسامة صحية وواثقة
يحرص الدكتور حسين على استخدام أحدث التقنيات وأفضل المواد الطبية لضمان علاج فعّال، مريح، وآمن لجميع الفئات العمرية، من الأطفال وحتى كبار السن. يتميز بأسلوب راقٍ في التعامل، وشرح مبسّط لخطة العلاج، مما يجعل المريض يشعر بالراحة والثقة طوال الزيارة
عدد زوار هذه الصفحة : 123
نبذة عن عيادة دريم سمايل
Dream Smile Clinic
Dream Smile Clinic هي عيادة مجهزة بأحدث أجهزة طب الأسنان الحديثة، وتقدّم خدمات علاجية وتجميلية شاملة تهدف إلى تحسين صحة الفم والأسنان مع تحقيق نتائج طبيعية وجذابة.
تتميز العيادة بالاهتمام بأدق التفاصيل، بدايةً من نظافة المكان والتعقيم المستمر، وحتى متابعة المريض بعد الجلسة لضمان أعلى مستوى من الجودة والرضا.
💙 الخدمات المقدمة داخل العيادة
- علاج الجذور (العصب) بأحدث الأجهزة
- الحشوات التجميلية والعلاجية
- التركيبات بأنواعها (الزيركون – البورسلين – الفينير – اللومينير)
- تبييض الأسنان بالليزر
- علاج التهابات اللثة وتنظيف الجير
- خلع الأسنان والجراحات البسيطة
- متابعة وعلاج أسنان الأطفال
- جلسات تجميل الابتسامة (Hollywood Smile)
🎯 لماذا تختار Dream Smile Clinic؟
- دكتور ذو خبرة وسمعة طيبة في بلبيس
- التزام تام بالتعقيم والجودة
- مكان مريح مناسب للكبار والأطفال
- نتائج تجميلية طبيعية ودائمة
- مواعيد واضحة واهتمام كامل بالمريض قبل وبعد الجلسة
عنوان العيادة : بلبيس شارع القساريه أمام مكتبه اولاد يحيي عياده الدكتور حسين اشرف حبيشي الدور الاول
مواعيد العيادة ببلبيس
- من الساعة 4 الي 10 مساء السبت
- من الساعة 4 الي 10 مساء الأحد
- من الساعة 4 الي 10 مساء الأثنين
- من الساعة 4 الي 10 مساء الثلاثاء
- من الساعة 4 الي 10 مساء الأربعاء
- من الساعة 4 الي 10 مساء الخميس
- اجازة الجمعة
رقم العيادة : 01034952565
لما تختار الدكتور الصح، بتختصر طريق طويل من التعب
لماذا تختار هذا الطبيب؟
- خبرة – دقة – نتائج ممتازة
- اهتمام بالمريض قبل وبعد العلاج
- أفضل تقنيات التجميل والحشو الحديثة
- عيادة آمنة ومجهزة بالكامل
تابعنا على صفحتنا
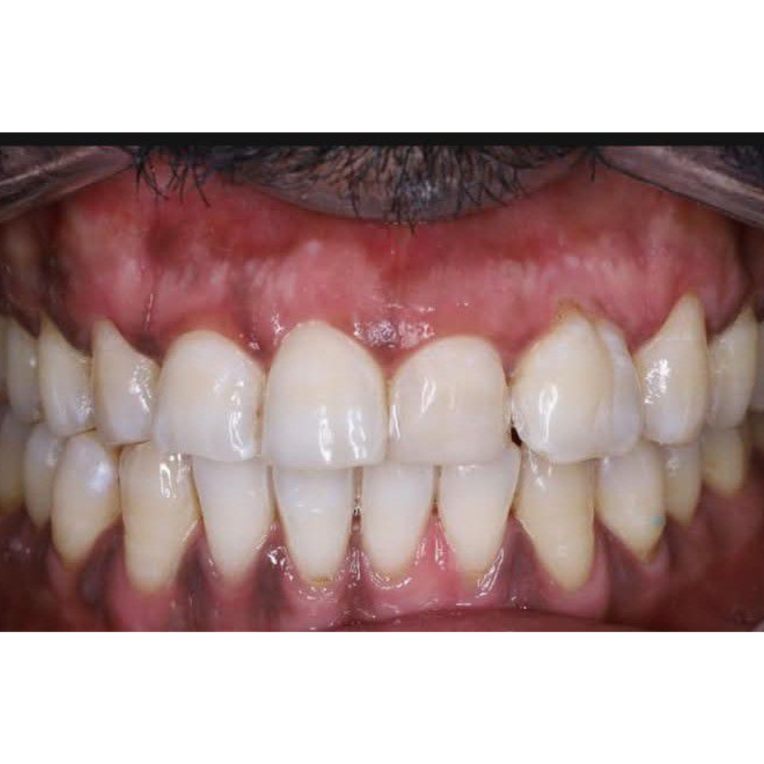
صور من العيادة
صور من أعمالنا
Before
After
Before
After
من آراء عملائنا
أ. مروة عبد الرحمن
دكتور محترم جدًا وبيشرح كل خطوة، التجربة ممتازة
م. أحمد عبد الفتاح
لعيادة نظيفة جدًا وشغل الدكتور دقيق وراقي
د. نهى عبد العزيز:
ابني كان خايف من علاج الأسنان والدكتور طمّنه وتعامل معاه باحترافية عالية



