نبذة عن الدكتور
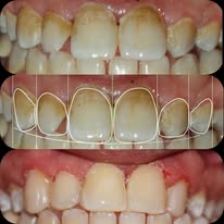
أخصائية تجميل الأسنان وتركيبات الفم، من الطبيبات المتميزات في تشخيص وعلاج مشكلات الأسنان واللثة باستخدام أحدث التقنيات الطبية الحديثة. تقدم العيادة خدمات متكاملة تشمل تجميل الأسنان بالعدسات (الفينير واللومينير)، تبييض الأسنان بالليزر، علاج العصب، التركيبات الثابتة والمتحركة، حشو الأسنان التجميلي، وعلاج أمراض اللثة. تحرص د. ليلى الشاهد على تقديم رعاية دقيقة وشاملة، مع متابعة مستمرة لحالة المريض لضمان أفضل النتائج وتحقيق ابتسامة صحية وجذابة تدوم طويلاً.
عدد زوار هذه الصفحة : 18
عنوان العيادة : الشرقية - بلبيس - ش بورسعيد اعلي صيدلية الشنواني
مواعيد العيادة ببلبيس
- من الساعة 5 الي 9 مساء السبت
- من الساعة 5 الي 9 مساء الاثنين
- من الساعة 5 الي 9 مساء الاربعاء
- اجازة الجمعة
الحجز مسبقا بالموبيل او من خلال الواتساب و الدخول بأسبقية الحضور
رقم العيادة : 01097860069
اختيار الطبيب المعالج من اول مره بيوفر عليك مجهود كبير
تابعنا على صفحتنا
من آراء عملائنا
أ. منى عبد الرحمن
دكتورة محترمة جدًا وشغلها نضيف أوي، العيادة منظمة والدكتورة بتتابع الحالة باهتمام
م. أحمد السيد
تعامل راقي جدًا ونتيجة التبييض كانت ممتازة، فرق واضح من أول جلسة.
أ. سارة محمد
فهمتني حالتي كويس واشتغلت بدقة، بجد من أحسن دكاترة الأسنان في بلبيس.
م. خالد محمود
العيادة نظيفة والدكتورة شاطرة جدًا، أنصح أي حد يروحها بدون تردد.
Before
After
أبرز عمليات تجميل الأسنان







